Der C-Wurf
Hurra der C-Wurf ist da!
Wir dürfen wieder hoffen und uns auf bekannte Jobs freuen, die wir für unsere C-chen mit 100 % Liebe erfüllen wollen. Da wären:
Ben: werdender Goldi Papa
Sandy: werdende Goldi Mama
Julie: werdende Tante
Finley: werdende Tante
Harald: werdendes Herrchen
Fitnesstrainer für werdende Hundeeltern, Tierarztbegleiter, Architekt der Welpenzimmer (Neugeborenenstube und Kinderzimmer), Geburtshelfer, Erzieher
mit Leib und Seele Herrchen
Silvie: werdendes Frauchen
Pflegerin für werdende Hundeeltern, Innenausstatterin der Welpenzimmer (Neugeborenenstube und Kinderzimmer), Hebamme, Erzieherin, ...mit Freude Frauchen
Hochzeit war am 22. Januar und wenn Sandy aufgenommen hat, dann erwarten wir unseren C-Wurf - und damit letzten Wurf - das Wochenende vor Ostern. Bis Mitte Februar müssen wir uns allerdings noch mit einem eindeutigen Ergebnis gedulden, denn um dem 25. Tag kann per Ultraschall eine Trächtigkeit festgestellt werden. Frühschwangerschaftstests für Hündinnen gibt es leider noch nicht und Trächtigkeitsuntersuchungen über den 28. Tag sind per Ultraschall nur noch bedingt möglich. Also hibbeln wir hoffnungsvoll weiter, tippen die Anzahl der Hundebabies und überlegen uns Namen mit dem Anfangsbuchstaben C (irgendwie muss man sich ja ablenken).
25.01.2013
Heute war Sandy zur Vorstellung und den weiteren Terminabsprachen bei der Tierärztin. Das Datum für die 1. Ultraschalluntersuchung wurde für den 11. Februar (21. Tag) vereinbart. Unsere Tierärztin möchte lieber einen frühen Ultraschall durchführen, damit sie aufgrund der rasanten Entfaltung der Gebärmutter ein darstellendes und aussagekräftiges Bild einfangen kann. Sollte der Termin allerdings noch zu früh gewesen sein, dann ist ein Kontrollschall für den 15. Februar (25. Tag) ausgemacht. Na gut, so ein Ultraschall tut ja zum Glück nicht weh und Sandy hat gegen das Babykinogucken auch nichts einzuwenden. Und wir….wir finden es einfach nur spannend :D
30.01.2013
Die 1. von zwei Muttertierschutzimpfungen gegen Herpes stand heute auf dem Pflegeplan für Sandy. Zugegeben, nicht allzu spaßig, aber absolut wichtig, da der Erreger die Scheidenschleimhaut der Hündin „bewohnen“ kann und sich die Babies unter der Geburt infizieren könnten. Durch die Schutzimpfung werden dagegen im Muttertier Antikörper gebildet, die nach der Geburt über die Muttermilch an die Neugeborenen weitergegeben werden. Und das wollen wir für unsere C-chen: Starke Antikörper, die im Falle einer Herpesinfektion imstande sind, das Virus unschädlich zu machen, zu neutralisieren. Und das wollen wir auf gar keinen Fall für unsere C-chen: Das sie uns unter den Händen wegsterben (infektiöses Welpensterben), weil wir uns vor dem Impfen scheuen.
Die 2. Impfung erfolgt dann 1-2 Wochen vor dem errechneten Geburtstermin, damit sich auch bestimmt bis zum eigentlichen Geburtszeitpunkt genügend Antikörper gebildet haben.
….und Sandy hat es geschafft, sie hat den Piek für ihre Babies tapfer ausgehalten !!!!! Und wir auch :D
03.02.2013
Sandy geht es prima !!! Sie liebt ihr Special-Sportprogramm mit Herrchen draußen und das Special-Wohlfühlprogramm mit Frauchen drinnen. Da gibt es neben Streichelmassagen auch den ein oder anderen extra Klecks laktosefreien Magerquark auf Brotkrüstchen. Und wenn mal keine Hand zum Streicheln oder zwei zum Massieren frei sind, dann kuschelt sie eben eine Runde mit Julie oder gönnt sich ein Schläfchen bis zur nächsten Action. Wir könnten ja in ihr Verhalten (esslustig, sehr anhänglich, verschmust hoch 10, sehr müde) eine Schwangerschaft hineindenken, aber das tun wir nicht und fiebern weiter dem 11. Februar entgegen. Sind ja bloß noch ein paar Tage !!! Und Ben .der ist froh seine Ruhe wiederzuhaben und beim leckeren Quarkessen einen Happen abzubekommen :D



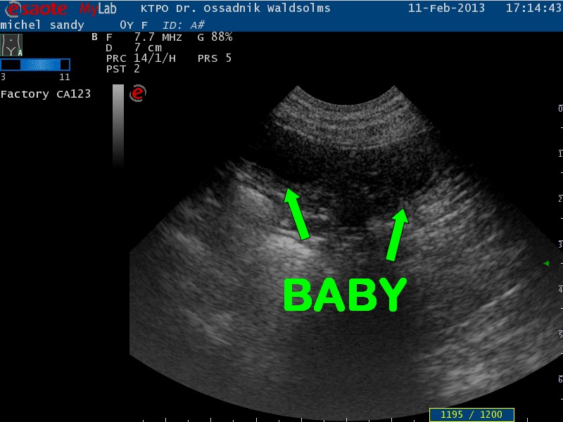
11.02.2013
Siehste, hab ich doch gleich gesagt, BABIES ON BOARD !!!!!!! Sandys Ultraschall hat ganz deutlich 3 Fruchtanlagen dargestellt, auch wenn ich sie selbst sooo deutlich gar nicht sehen kann, Du? Wie viele Babies es tatsächlich sind, kann man aber nicht sagen. Sandy hat das Babykino total gechillt über sich ergehen lassen. Sie hat beim Schallen sogar völlig relaxt ihren Kopf zurückgelegt und das, obwohl sie in Rückenlage ganz still liegen musste. Was ihr allerdings so ganz und gar nicht gefallen hat, war der Schlabber (Schallgel) auf ihrem Bauch und die noch immer kahl rasierte Bauchpartie. Aber was jetzt an Haarkleid weg ist, das muss nicht mehr ausfallen damit die Kleinen später besser an die gute Milch gelangen. Wir sind total stolz auf unsere werdende Mama, sie hat die Untersuchung toll gemeistert !!! Und Papa Ben....der hat derweil zu Hause ganz tapfer auf seine Frau gewartet :D
17.02.2013
Die Schwangerschaft ist intakt und stabil und unseren Hunden geht es wunderprächtig!
Papa Ben hat aus dem Jungbrunnen genippt und ist kaum wieder zu erkennen. Wie ein Balljunkie jagt er die Wiese rauf und runter und spielt! sogar mit anderen Hunden auf dem Hundeplatz. Wer ihn kennt, der weiß das er dort eher den Job des Bodyguards innehat und sich als Goldie mit Lehrmeisterfunktion versteht. Und schulen kann er wirklich gut; so manch einen Friedensstörer hat er allein durch sein ausgeglichenes Naturell auf den Boden der Tatsache zurückgeholt. Derzeit ist unser Hundeflüsterer aber... na sagen wir mal so... Ben, ein werdender Goldie-Papa im Training. Er weiß ja auch genau was auf ihn zukommt - Abhärtung tut da Not! Mama Sandy entpuppt sich dagegen als schwangerschaftsanstrengend und -schnäubig. Hundefutter...iss selber! Mein Leibgericht von gestern...iss selber! Leerer Napf...geht gar nicht! Haferflocken mit nem Schuss laktosefreier Milch und Wasser...das passt, heute! Schlafen...bin wach und will unterhalten werden! Zum Aufwärmen das Suchspiel im Wohnzimmer, gefolgt von den Übungen für Assistenzhunde in der Küche, gefolgt von dem Outdoorschwangerensport mit anschließendem Wellnessprogramm im Badezimmer (man nennt es Duschen, damit aus einem braunen wieder ein weißer Goldie entsteht). Dann ein kurzes Schläfchen, um für die Streichelrunde auf der Hundedecke fit zu sein. Und dann alles noch einmal von vorne und schön der Reihe nach *stöhn*. Da scheinen einige Hormone ziemlich durcheinander geraten zu sein, ganz besonders das Schlafhormon. Bis vor wenigen Tagen hatte das noch die Oberhand, nu isses wech, einfach gelöscht. Tante Finley zeigt sich dagegen erfreulich pflegeleicht und hält sich brav aus allem raus und Tante Julie lässt sich jeden Happen schmecken, den Mama Sandy schnäubig wieder fallenlässt. Alles in allem läuft es rund im Hundehotel Michel und das ist die Hauptsache :D




02.03.2013
Eine Schwangerschaft ist keine Krankheit, wohl aber ein Ausnahmezustand!
Armer Ben! In Sandy flattern die Muttergefühle wie bei Frischverliebten die Schmetterlinge. Ein Rüde in der Nähe ihres Nestes ist ein absolutes No Go! Uns zeigt sie damit ein instinktsicheres (nestsicheres) Verhalten, Ben gegenüber na ja, wie Schwangere nun einmal so ticken.
Sandys Schlafbedürfnis übt nach wie vor den Ernstfall Mama, wohlwissend das in diesem Job das Wort schlafen gnadenlos aus dem Vokabular gestrichen ist. Im günstigsten Fall bekommt sie in dieser Pflicht einen aufbauenden Wachsame-Mutterhündin-Schlaf geschenkt, der halt vorgeburtlich trainiert werden will. Zugegeben, mit ihr zu wachen, und ihren Energieüberschuss (noch verlangen die Babies ja nicht ihre Aufmerksamkeit) in gescheite Bahnen zu lenken, ist hyperanstrengend, aber auch wir haben zu unseren C-chen JA gesagt. Also Ärmelhoch und weitermachen! Genau wie unser Ben, der trotz schwangerer Frau seiner Ausgeglichenheit treu bleibt und Sandy durch seinen wiederentdeckten neuen Liegeplatz im Treppenhaus eine extra Portion Toleranz zukommen lässt. Ich glaube allerdings, den überlässt Sandy ihm gerne und bevorzugt die unmittelbare Nähe zu uns mit einer extra Runde Babybäuchlein kraulen :D
Soweit ist also alles Bestens im werdenden Michels-Haus.

15.03.2013
Das ganze Rudel ist in entspannter Vorfreude, und wir mit ihnen :D
Alle tierärztlichen Vorsorgen sind inzwischen abgeschlossen; die 2. Muttertierschutzimpfung gegen Herpes ist überstanden und Sandy auch noch einmal entwurmt. Dies geschieht ganz bewusst so nahe am errechneten Entbindungstermin, weil erst ab einem gewissen Hormonspiegel der Hündin die Wurmlarven zu wachsen beginnen und auf die Babies übertragen werden können. Und da wir auch das für unsere C-chen nicht wollen, durfte sich Sandy einen in Putenbrust eingewickelten Anti-Wurm-Snack schmecken lassen. Gesundheitlich ist sie topfit und alles in bester Ordnung; die Milchleiste wächst und ihr Gewicht auch. 4,7 kg bringt sie jetzt mehr auf die Waage, ordentlich! Ihre Lieblingsbeschäftigung ist neben dem ruhigen Spazierengehen derzeit das Ausruhen und Schlafen, am liebsten mit Körperkontakt zu uns und in der Sonne.
Sämtliche Architekten- und Innenarchitektenarbeiten sind ebenfalls abgeschlossen und das Neugeborenenzimmer nebst Kreisbett (Wurfbox) von Mama Sandy als gut befunden. Sie hat es sich tatsächlich schon einmal in ihrem neuen Mutter-Kind-Reich gemütlich gemacht und sogar schon bestimmt, wer mit hinein darf und wer nicht. Ihre VIP-Amme heißt, wie sollte es auch anders sein, Tante Julie. Tante Finley muss vorerst leider draußen bleiben und Papa Ben meidet den Rooming-in-Bereich freiwillig weitläufig :D
...und das Schönste zum Schluss: wir können die Schwangerschaft jetzt nicht nur deutlich sehen, sondern auch fühlen *freu* - die Kleinen strampeln wie die Weltmeister in Mamas Bauch, die sich gerne ganz sanft die Hand von uns auflegen lässt *snief*. Was für ein unbeschreiblich tolles Gefühl !!!!!
Babies, wir freuen uns auf euch !!!!

21.03.2013
Die werdenden Goldie-Eltern warten geduldig auf ihren Nachwuchs
Ich bin - mal wieder! - völlig berührt von unserem Rüden Ben *snief*. Wie ein Fels in der Brandung liegt er an der Seite seiner hochschwangeren Goldie-Dame und verbreitet damit eine Ruhe, die absolut ansteckend ist. Selbst wenn Sandy zu zittern beginnt oder sich unruhig verhält und zu hecheln anfängt, Ben bleibt entspannt und ruhig und tut damit genau das Richtig! Das ist es auch, was wir derzeit tun: Alles unterlassen, was Unruhe stiftet und die Gelassenheit zerstört. Eine nahe Hundegeburt gehört mit zu einer der friedlichsten Zeiten, die ich kenne! Und Sandy hat unsere volle Aufmerksamkeit nicht nur verdient, sondern sie braucht sie auch, damit die Geburt ihrer Babies normal und ungestört ablaufen kann.
Liebe C-chen, macht euch klein und dünn, damit ihr eurer Mama nicht so wehtut, okay ;-)
Wir empfangen euch auf der anderen Seite !!!!!

22.03.2013
Hallo Welt

da sind wir !!!!!!!
und sorgen jetzt für noch mehr Leben im Hause Michel :-)
Eingezogen sind: Chivie, Casey, Chana, Curly, Charlie, Caspa und Coda
Coco und Cookie konnten leider nicht mit einziehen - sie haben irgendwann und irgendwo auf der Straße ins Leben die Richtung gewechselt und sind ihren ureigenen Weg über die Regenbogenbrücke gegangen. Wir sind sehr traurig über ihren frühen Tod und halten uns an dem Gedanken fest, dass die beiden als Geschwisterpaar auf der anderen Seite des Regenbogens miteinander spielen können und das ihr großer Bruder Bootsmann (Archimedes aus dem A-Wurf) sie dort in Empfang genommen hat.
Auf Wiedersehen Coco und Cookie.
